ΕΞΩΣΤΟΜΑΤΙΚΕΣ ΑΚΤΙΝΟΓΡΑΦΙΕΣ
ΓΕΝΙΚΑ
Οι εξωστοματικές ακτινογραφίες αποτελούν μια σειρά δισδιάστατων ακτινογραφικών προβολών με τις οποίες απεικονίζονται οι σκληροί ιστοί (δόντια και οστά) των γνάθων και μέρος του σπλαχνικού κρανίου. Η πηγή ακτινοβολίας και ο σένσορας που καταγράφει την εικόνα βρίσκονται και οι δύο εκτός της στοματικής κοιλότητας του εξεταζόμενου.
Ειδικότερα:
1. ΠΑΝΟΡΑΜΙΚΗ ΑΚΤΙΝΟΓΡΑΦΙΑ
Η πανοραμική ακτινογραφία (Ορθοπαντομογράφημα) είναι η συχνότερα χρησιμοποιούμενη οδοντιατρική ακτινογραφία για τη μελέτη των δοντιών και των γνάθων. Το βασικό της πλεονέκτημα είναι ότι επιτρέπει με τη λήψη μιας ακτινογραφίας τη μελέτη όλων των δοντιών του στόματος, των οστών της άνω και κάτω γνάθου, των κροταφογναθικών διαρθρώσεων, καθώς και τμήματος των ιγμορείων άντρων.
Στην οδοντιατρική χρησιμοποιείται για τη μελέτη οδοντικών και περιοδοντικών παθήσεων, οστικών παθολογικών αλλοιώσεων και καταγμάτων. Αποτελεί χρήσιμο διαγνωστικό εργαλείο για τη σύνταξη του σχεδίου θεραπείας από τον οδοντίατρο.
Η λήψη της είναι γρήγορη (διαρκεί περίπου 13-16 sec) και ανώδυνη. Τα ψηφιακά συστήματα ακτινογράφησης που έχουν αναπτυχθεί και εξελιχθεί σημαντικά τα τελευταία 15 χρόνια έχουν επιτρέψει επίσης τη σημαντική μείωση της δόσης ακτινοβολίας που δέχεται ο εξεταζόμενος.
2. ΠΛΑΓΙΑ ΚΕΦΑΛΟΜΕΤΡΙΚΗ ΑΚΤΙΝΟΓΡΑΦΙΑ
Η πλάγια κεφαλομετρική ακτινογραφία είναι μια πλάγια ακτινογραφία του κρανίου.
Συνηθέστερα ζητείται από τον ορθοδοντικό και χρησιμοποιείται για τον ακριβή προσδιορισμό αποστάσεων και γωνιών μεταξύ ανατομικών σημείων των οστών των γνάθων και των μαλακών μορίων του προσώπου, προκειμένου να αξιολογηθεί η πορεία ανάπτυξης των οστών του σπλαχνικού κρανίου και των γνάθων.
Η λήψη της είναι γρήγορη (διαρκεί λίγα δευτερόλεπτα) και ανώδυνη.
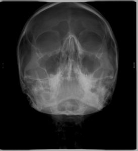
3. ΟΠΙΣΘΟΠΡΟΣΘΙΑ ΚΕΦΑΛΟΜΕΤΡΙΚΗ ΑΚΤΙΝΟΓΡΑΦΙΑ
Η οπισθοπρόσθια ακτινογραφία είναι μια κατά μέτωπο ακτινογραφία του κρανίου.
Δίνει τη δυνατότητα αξιολόγησης πιθανής ασυμμετρίας μεταξύ του δεξιού και αριστερού ημιμορίου της άνω και κάτω γνάθου. Επίσης με αυτήν απεικονίζονται και αξιολογούνται οστικά κατάγματα της κάτω γνάθου που μπορεί να εντοπίζονται στο σώμα, τον κλάδο ή τη γωνία αυτής.
Η λήψη της είναι γρήγορη (διαρκεί λίγα δευτερόλεπτα) και ανώδυνη.
4. ΑΚΤΙΝΟΓΡΑΦΙΑ ΙΓΜΟΡΕΙΩΝ WATERS
Πρόκειται για κατά μέτωπο ακτινογραφία του κρανίου, η οποία λαμβάνεται με την κεφαλή του εξεταζομένου να βρίσκεται σε κλίση 45 μοιρών προς τα άνω.
Είναι χρήσιμη για τη μελέτη κυρίως των ιγμορείων άντρων και των μετωπιαίων κόλπων.










