ΕΝΔΟΣΤΟΜΑΤΙΚΕΣ ΑΚΤΙΝΟΓΡΑΦΙΕΣ

ΓΕΝΙΚΑ

Οι ενδοστοματικές ακτινογραφίες αποτελούν μια σειρά δισδιάστατων ακτινογραφικών προβολών με τις οποίες απεικονίζεται μία ομάδα δοντιών και τμήμα του φατνιακού οστού της γνάθου. Η πηγή ακτινοβολίας του ακτινογραφικού μηχανήματος βρίσκεται έξω από το στόμα του εξεταζόμενου. Αντίθετα το μικρών διαστάσεων φιλμ,  πλακίδιο φωσφόρου (PHP) ή σένσορας (CCD) που καταγράφει την εικόνα, τοποθετείται εντός της στοματικής κοιλότητας στην περιοχή των δοντιών που πρόκειται να απεικονιστεί.

Τα ψηφιακά συστήματα ενδοστοματικής ακτινογραφίας που έχουν αναπτυχθεί και εξελιχθεί σημαντικά τα τελευταία 20 χρόνια, έχουν επιτρέψει τη σημαντική μείωση της δόσης ακτινοβολίας που δέχεται ο εξεταζόμενος.

Ειδικότερα:

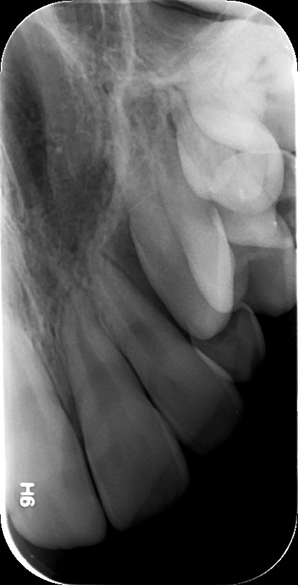
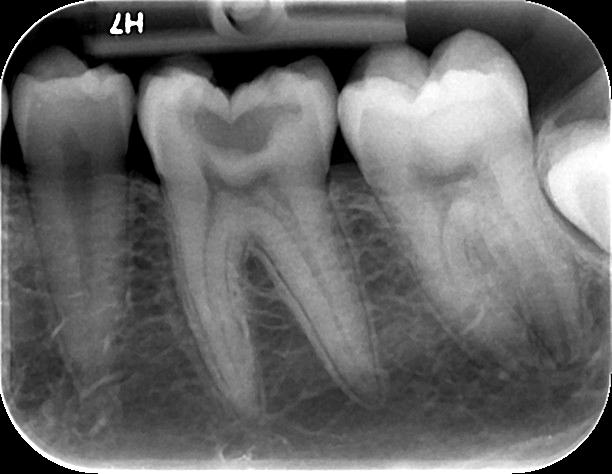
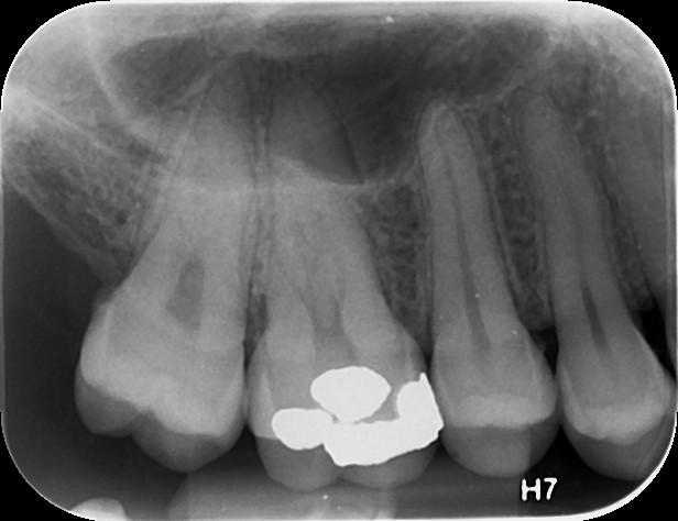
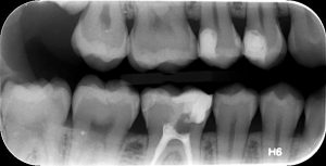
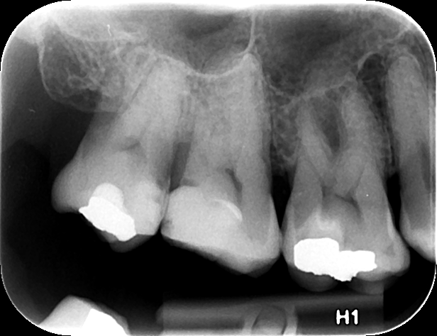
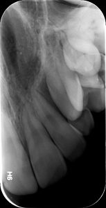
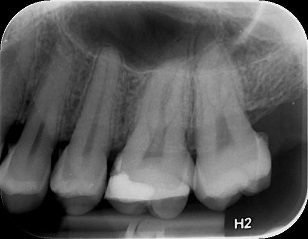
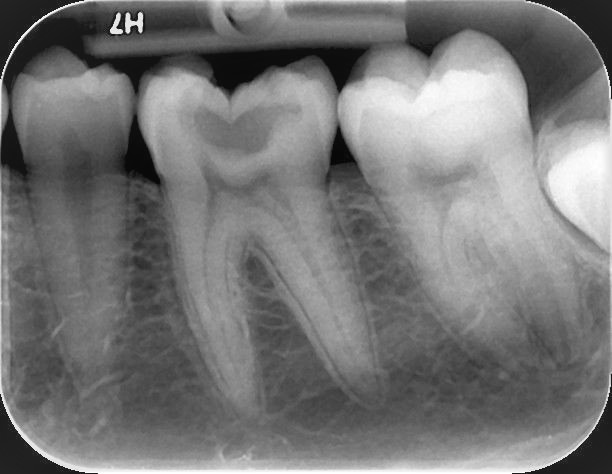
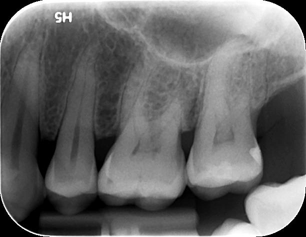
1. ΟΠΙΣΘΟΦΑΤΝΙΑΚΗ  ΑΚΤΙΝΟΓΡΑΦΙΑ

Η οπισθοφατνιακή ακτινογραφία λαμβάνεται με την τοποθέτηση του ακτινογραφικού πλακιδίου εσωτερικά των δοντιών (προς την πλευρά της γλώσσας ή του ουρανίσκου) και παράλληλα με αυτά. Χρησιμοποιείται ειδικός συγκρατητήρας του φιλμ, τον οποίο δαγκώνει ο εξεταζόμενος. Με αυτή απεικονίζονται ένα ή περισσότερα δόντια (τόσο η μύλη, όσο και η ρίζα αυτών), καθώς και τμήμα του φατνιακού οστού που περιβάλλει τις ρίζες των δοντιών. Αποτελεί την πιο απλή οδοντιατρική ακτινογραφική απεικόνιση. Χρησιμοποιούνται τρία μεγέθη φιλμ ή πλακιδίου ανάλογα με την περιοχή που θέλουμε να απεικονιστεί, το μέγεθος του στόματος του εξεταζόμενου και την ηλικία του. Η λήψη της είναι γρήγορη (διαρκεί λίγα δευτερόλεπτα) και ανώδυνη. 

Η οπισθοφατνιακή ακτινογραφία μεταξύ άλλων μας επιτρέπει:

  • την ανίχνευση οδοντικών τερηδόνων, τον καθορισμό της έκτασης και του βάθους τους και της σχέσης τους με τον πολφό του δοντιού  

  • τη μελέτη των ριζών των δοντιών (αριθμός, μορφολογία και πιθανή κάμψη αυτών, ύπαρξη απορρόφησης ή κατάγματος)

  • τη μελέτη του αριθμού, της μορφολογίας, του εύρους και της πορείας των ριζικών σωλήνων εντός των ριζών

  • τη μελέτη των σκληρών ιστών του περιοδοντίου, δηλαδή του φατνιακού οστού που περιβάλλει και στηρίζει το δόντι και του περιοδοντικού συνδέσμου. Σε περίπτωση περιοδοντικής νόσου, καθορίζεται η εντόπιση, ο βαθμός και η φύση (οριζόντια, γωνιώδης) της απορρόφησης του φατνιακού οστού
  • τη μελέτη του φατνιακού οστού της περιακρορριζικής περιοχής του δοντιού για ύπαρξη παθολογικών εξεργασιών (απόστημα, κοκκίωμα, κύστη κ.λ.π.) 
  • την ανίχνευση κατάγματος των δοντιών.

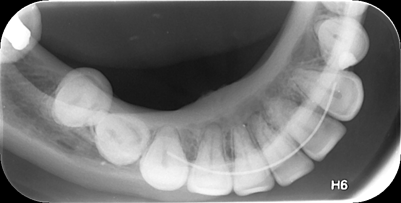
2. FULL-MOUTH ΟΠΙΣΘΟΦΑΤΝΙΑΚΕΣ  ΑΚΤΙΝΟΓΡΑΦΙΕΣ

Πρόκειται για ένα σετ 14-16 οπισθοφατνιακών ακτινογραφιών, οι οποίες λαμβάνονται διαδοχικά προκειμένου να απεικονιστούν όλα τα δόντια της άνω και κάτω γνάθου.

3. ΟΠΙΣΘΟΜΥΛΙΚΗ ΑΚΤΙΝΟΓΡΑΦΙΑ

Με την οπισθομυλική ακτινογραφία επιτυγχάνεται η ταυτόχρονη απεικόνιση των μυλών των άνω και κάτω οπισθίων δοντιών ενός ημιμορίου (μιας πλευράς) με μία λήψη. Λαμβάνεται με την τοποθέτηση του ακτινογραφικού πλακιδίου εσωτερικά των δοντιών (προς την πλευρά της γλώσσας και του ουρανίσκου) και παράλληλα με αυτά. Χρησιμοποιείται ειδικός συγκρατητήρας οπισθομυλικών, τον οποίο δαγκώνει ο εξεταζόμενος. 

Χρησιμοποιείται για την ανίχνευση τερηδόνων στις μύλες των δοντιών, κυρίως στις όμορες επιφάνειές τους (γειτνιάζουσες επιφάνειες δοντιών).    

Η λήψη της είναι γρήγορη (διαρκεί λίγα δευτερόλεπτα) και ανώδυνη.

4. ΑΚΤΙΝΟΓΡΑΦΙΑ ΔΗΞΕΩΣ

Πρόκειται για ενδοστοματική ακτινογραφία κατά την οποία το πλακίδιο-φιλμ τοποθετείται οριζόντιο στο επίπεδο των δοντιών του ασθενούς (μασητικό επίπεδο) και συγκρατείται στη θέση του με το κλείσιμο του στόματος. Η πηγή ακτινοβολίας τοποθετείται κάθετα στο πλακίδιο, είτε άνωθεν του ασθενούς εάν θέλουμε να απεικονίσουμε την άνω γνάθο και υπερώα (ουρανίσκο), είτε κάτωθεν του ασθενούς εάν θέλουμε να απεικονίσουμε την κάτω γνάθο και το έδαφος του στόματος.

Με την εξέταση αυτή μπορούν να απεικονιστούν:

  • το έδαφος του στόματος για την ύπαρξη λίθων στον εκφορητικό πόρο των σιελογόνων αδένων (Υπογνάθιος και Υπογλώσσιος)

  • η εντόπιση, κλίση και φορά έγκλεισης (παρειο-γλωσσική ή παρειο-υπερώϊα) έγκλειστων και υπεράριθμων δοντιών, καθώς και η θέση τους σε σχέση με άλλα δόντια

  • η παρειογλωσσική/παρειοϋπερώϊα ανάπτυξη παθολογικών αλλοιώσεων των γνάθων
  • κατάγματα των γνάθων και των δοντιών
  • υπερωο-γναθοσχιστίες.

Η λήψη της είναι γρήγορη (διαρκεί λίγα δευτερόλεπτα) και ανώδυνη.